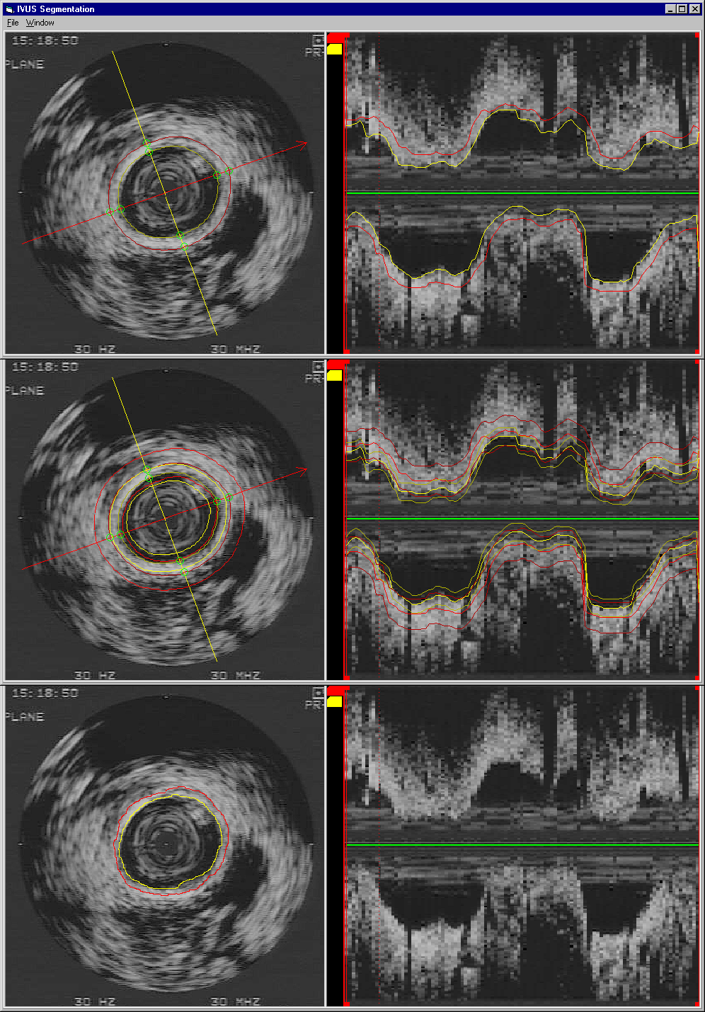
Semi-Automated Segmentation of the IVUS Data